今年7月,男孩玩水后感染狒狒阿米巴原虫(食脑虫)一事,引发广泛关注。
8月11日晚,男孩的妈妈在社交平台发布了一封“君宝贝和妈妈的感谢信”。感谢信称,男孩的生命留在了6岁8个月。

感谢信结尾称,“请大家给我们点时间,处理完剩下的事情,感谢。感恩所有帮助过我们的朋友们。”



此前,男孩妈妈的一则求助帖在社交媒体上流传。

求助帖称,孩子在上海复旦大学附属医院通过腰穿脑积液的检查,检查出感染狒狒阿米巴原虫。
至于感染的原因,男孩妈妈表示,目前想到的就只有6月6日在学校打水仗和4月13日在公园里捞鱼,没有去过别的地方。
据现代快报报道,7月3日,孩子妈妈曾表示,已与相关制药公司取得联系,“我们自己看到网友评论,联系到了之前治愈的孩子爸爸,他推荐了相关制药公司。我们医生立马联系了,现在在走流程。”
随后,在医院、药厂、热心网友的帮助下,男孩尝试用了各类药物和治疗。

值得注意的是,因夏日玩水感染“食脑虫”,上述男孩并非个例。
今年6月,福建也有一名5岁女孩的家长在社交平台求助,称带孩子去游泳和泡温泉后,孩子出现头痛低热呕吐的症状,最终被确诊为“食脑虫”感染。
4天前,该博主发布消息称,孩子已在PICU待了45天。

“食脑虫”为何如此凶险?又该如何预防?
事实上,“食脑虫”并不是真的虫子,而是一类分布于自然界中的单细胞生物阿米巴原虫。
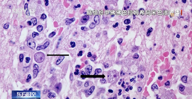
首都医科大学附属北京友谊医院、北京热带医学研究所主任医师王磊介绍,目前,称之为“食脑虫”的阿米巴原虫有三种:福氏耐格里属阿米巴、狒狒巴拉姆希阿米巴、双核匀变虫。

王磊表示,这三种阿米巴原虫对人体造成损害主要有两方面:
造成皮肤性损害。阿米巴原虫通过破溃的皮肤进入人体以后,在破溃的局部形成肉芽肿性改变。
侵入中枢神经系统,导致患者出现间断或者持续性的抽搐、昏睡昏迷,以颅内高压为表现的恶心、呕吐、头疼,大约在1—2周以后就会造成不可逆转的神经系统病变。
7月11日,中国疾控中心发布关于“食脑虫”的健康提示。其中称,我国迄今累计报告狒狒巴拉姆希阿米巴感染病例仅40余例,属罕见的寄生虫病。公众无需过度紧张,但需提高防护意识。
疾控机构提出五项针对性预防建议,包括避野水,尽量避免在野外湖泊游泳或戏水,避免搅动水体沉积物;护口鼻,在自然水体活动时佩戴鼻夹、泳镜;防伤口,皮肤有破损时避免接触自然水体;洁鼻腔,使用灭菌生理盐水或煮沸冷却后的水冲洗鼻腔;排陈水,长期未使用的水管,需先排放积水再使用。
提醒身边人,
玩水注意安全!
中国青年报(ID:zqbcyol整理:陈茜)来源:央视新闻、新华社、都市快报、九派新闻等。