70多岁的吴大伯,身体非常硬朗,可是半个月前他突然咳嗽,咳出的痰也好像橙子的颜色,在儿子的陪同下他来到了医院。

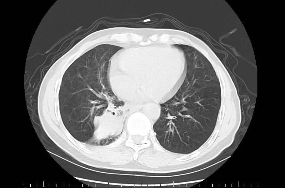
左下肺大面积变白,说明严重炎症,就会出现血现象,严重的甚至会有生命危险。

之所以会这样,肺部发炎的原因,是他们家每天晚上必点的熏香 。 熏香是吴大爷的儿子买的,据说有负离子作用,可以净化肺部,这东西现在在朋友圈里也是热卖产品。可能是熏香里面的某种元素引起了肺部的肺泡的过敏反应,导致肺泡出血。
有些熏香宣传有安神宁息功效,但肺部有基础性疾病的,哮喘、支气管扩张、慢阻肺或经常会有咳嗽、咽部不适等有呼吸道症状的病人不建议使用。 如果在用的时候就感觉胸口发闷、气急,或者咳出带特殊颜色物质的痰,一定要注意。
这款香薰并没有那么简单,在朋友圈中似乎风靡已久。有人进入“香薰”团队,会经常参加一些全国的“发布会”。每次会议都是在一些高端的私人会所或者五星级酒店。而每个人都必须穿着礼服或者正装出席。到了现场,像走红地毯一样,签名、礼服、灯光等等。打了鸡血的产品介绍,再加上对于销售的金字塔模式,让许多人当场付钱买套餐。